31.7.2018
cosmetic
dentistry

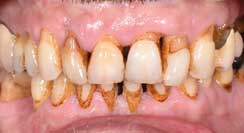
Einzelzahnveneer in der Oberkieferfront - Eine Herausforderung
Erfahren
Sie mehr (PDF).
05.05.2018
PIP
FALLSTUDIE

Ein klar definierter Fahrplan zwischen Praxis und Labor als Schlüssel zum Therapieerfolg
Erfahren
Sie mehr (PDF).
20.01.2018
SERIÖS, BEWÄHRT UND
PREISLICH ATTRAKTIV

Interview Zest Locator, Januar 2018.
Erfahren
Sie mehr (PDF).
25.09.2017
FEHLERVERMEIDUNG
BEIM AUFWACHEN

Frau Mai zeigt in diesem Beitrag Tipps und Tricks der manuellen Aufwachstechnik.
Erfahren
Sie mehr (PDF).
17.02.2017
PROTHETISCHER
NACHMITTAG

Bei diesem Workshop soll anhand eines Vortrages sowie verschiedenen
Demomaterialien und Modellen erfolgreiche Konzepte vorgestellt werden.
Erfahren
Sie mehr (PDF).
28.11.2016
WISSENSCHAFT
TRIFFT PRAXIS

Neue studienbasierte Ergebnisse zur digitalen Verblendung. Im abstract finden Sie neueste
Informationen um den Werkstoff PEEK.
Aufgrund moderner Herstellungsmethoden können wir heute die sichere Verarbeitung von PEEK
gewährleisten.
Erfahren Sie mehr (PDF).
07.12.2016
UNSERE NÄCHSTE
VERANSTALTUNG

"Mit dem digitalem Weg zu gesicherten Ergebnissen" mit Dr. Axel Otto und ZTM Björn Roland. Anhand von Praxisbeispielen wird aufgezeigt welche Punkte bereits in der Planung berücksichtigt werden sollten. Die Veranstaltung findet am Mittwoch, 7. Dezember 2016, ab 17 Uhr statt. Weitere Informationen und die Anmeldung zur Veranstaltung finden Sie hier.
15.05.2016
Ausbildung
aktuell

Zähne aufwachsen bzw. Zähne aufstellen sind zwei wesentliche Grundlagen in der Ausbildung zum
Zahntechniker.
Lesen Sie dazu den Beitrag unserer Auszubildenden Corinna Mai (2. Lehrjahr) in der Mai-Ausgabe
des Fachmagazins
"Quintessenz Zahntechnik" erschienen ist.
Erfahren
Sie mehr (PDF).
02.01.2015
Die korrekte Befestigung
von Keramik

Einladung zur Veranstaltung „Die korrekte Befestigung von Keramik“ mit Dr. med. dent. Jan Hajtó, am 13.Februar 2015, 16.00 Uhr (Dauer ca.4h). Alle Informationen zur Veranstaltung finden Sie hier.
10.12.2014
Das "Two-in-One"
Prinzip

Effizienz in der Implantatprothetik: Gerüst und Verblendung CAD/CAM-gestützt gefertigt. Ein Beitrag von Ztm. Philipp von der Osten, Erlangen, und Gerhard Reif, Schöneck-Kilianstädten. Veröffentlicht im Fachmagazin "dental dialogue" (15. Jahrgang - 10/14). Den kompletten Artikel finden Sie hier zum Download.
19.11.2014
TRANSLUZENTES
ZIRKONIUMDIOXID

Zirkoniumdioxid hat im letzten Jahrzehnt ein breites Anwen- dungsspektrum im Bereich vollkeramischer Restaurationen erschlossen. Im Folgenden wird anhand typischer Fallbeispiele eine Bewertung vorgenommen, inwieweit das neue Material aus medizinischer, ästhetischer und auch aus wirtschaftlicher Sicht eine neue Qualität in die Zahntechnik gebracht hat und welche Chancen es dem Labor aktuell und für die Zukunft bietet. Erschienen im Fachmagazin "Quintessenz Zahntech" (2013;39(2):2–10). Den kompletten Artikel finden Sie hier zum Download.
12.11.2014
Patienten haben Wünsche
Sie können Sie
erfüllen

Dr. Peter Gehrke und Ztm. Björn Roland haben am 12. November 2014 informiert. Alle Informationen zur Veranstaltung finden Sie hier.
01.10.2014
Herausnehmbare
Rehabilitation

2in1 – Herausnehmbare Rehabilitation durch präzise Stegkonstruktion mit einem Datensatz. In diesem Anwenderbericht wird ein Patientenfall beschrieben, bei dem eine totalprothetische Rehabilitation über einen direkt implantatverschraubten Steg und zusätzliche präfabrizierte Riegel verankert wurde. Veröffentlicht von Ztm. Philipp von der Osten im Fachmagazin "Quintessenz Zahntech" (2012;38(10):1232–1239). Den kompletten Artikel finden Sie hier zum Download.
18.09.2014
ZLS für die
Seitenzahnversorgung

Zirkonoxidverstärktes Lithiumsilikat (ZLS) zählt zu den interessanten neuen zahntechnischen Werkstoffentwicklungen des vergangenen Jahres. Anhand einer Kasuistik wird die Frage diskutiert, inwieweit sich dieses Material in der Anwendung bewährt. Veröffentlicht von Ztm. Philipp von der Osten im Fachmagazin "Quintessenz Zahntech" (2014;40(7):900–904). Den kompletten Artikel finden Sie hier zum Download.
12.09.2014
Polymermaterialien für
temporäre
Sofortversorgung

Polymermaterialien für die temporäre Sofortversorgung und das Definitivum.
Teil 1: Von der Chirurgie zum Therapeutikum aus Kaltpolymerisat
Teil 2: Fertigung der definitiven monolithischen Restauration aus einem Hochleistungspolymer
Ein Beitrag von ZTM Philipp von der Osten, ZA Gerhard Reif im "ZAHNTECH MAG" (18, 9, 496-502
(2014)).
Artikel-Download: Teil
1 | Teil 2
20.08.2014
Mit Liebe
ans Ziel

Vielseitig einsetzbares Schichtkonzept am Beispiel Cercon ceram love Ein Beitrag von Ztm. Philipp von der Osten. Veröffentlicht im Fachmagazin "dental dialogue" (12. Jahrgang - 2011). Den kompletten Artikel finden Sie hier zum Download.
04.08.2014
Intensiv-Kurs
mit Patientin

Eine individuelle Fortbildung, wie man sie sich wünscht – zusammen mit der Patientin: Acht verschiedene Farbinterpretationen für eine Restauration von 12 bis 22 haben sieben Zahntechniker zusammen mit dem Referenten, Ztm. Philipp von der Osten, im Labor Bauer Dentalmanufaktur in Aschaffenburg geschichtet. Erschienen im Fachmagazin "das dental labor" (LX · 2/2012). Den kompletten Artikel finden Sie hier zum Download.
28.07.2014
Brückenprothetik
im zahnlosen Kiefer

Es wird die Anfertigung einer implantatgetragenen, bedingt herausnehmbaren Hybridbrücke beschrieben. Veröffentlicht von Ztm. Philipp von der Osten im Fachmagazin "ZT Technik" (Nr. 3 | März 2012). Den kompletten Artikel finden Sie hier zum Download.
10.07.2014
Individualisierte
Sekundärteile

Oberkiefer-Komplettsanierung unter Verwendung industriell gefräster Sekundärteile. Veröffentlicht von Ztm. Philipp von der Osten im Fachmagazin "Starget" (2 | 11). Den kompletten Artikel finden Sie hier zum Download.
02.07.2014
Zweiteilige
Abutments

Zweiteilige Abutments, dort, wo es Sinn macht. Die unkomplizierte, sichere und vorhersehbare digitale Herstellung von individuellen Abutments ist für den Zahntechniker eines implantologisch tätigen Behandlungsteams immer häufiger Bestandteil der Zusammenarbeit. Ein Beitrag von Ztm. Philipp von der Osten im Fachmagazin "digital dentistry" (2_2011). Den kompletten Artikel finden Sie hier zum Download.